Berandasehat.id – Selain dampak kesehatan yang tak jarang mengganggu kualitas hidup, gangguan penglihatan berpengaruh besar pada ekonomi. Analisis Lancet Global HealthCommissionon Global EyeHealth mendapati bahwa gangguan penglihatan menyebabkan kerugian produktivitas setara US$410.7 miliar per tahun.
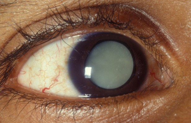
Di antara masalah gangguan penglihatan, katarak masih menjadi penyebab utama kebutaan di seluruh dunia. Diperkirakan dari 1,1 miliar orang dengan gangguan penglihatan, sekitar 100 juta orang menyandang katarak, bahkan 17 juta di antaranya sampai alami kebutaan, menurut data global.

Sementara di Indonesia, Perhimpunan Dokter Spesialis Mata Indonesia (PERDAMI) menyebut bahwa pada 2017 terdapat 8 juta orang dengan gangguan penglihatan – termasuk 1,6 juta kasus kebutaan. Dari angka kebutaan tersebut, sekitar 1,3 juta atau 81,2 persen diakibatkan oleh katarak.
Disampaikan DR. Dr. Vidyapati Mangunkusumo, SpM(K), Spesialis Mata Subspesialis Bedah Katarak & Refraktif JEC Eye Hospitals & Clinics, individu dengan gangguan penglihatan, apalagi yang buta, lebih berisiko kehilangan kesempatan untuk bekerja dan menjalankan aktivitas ekonomi. “Tak hanya itu, mereka juga bisa terkendala dalam membaca dan belajar, sampai risiko yang fatal karena kesulitan berkendara,” ujarnya dalam temu media daring, Rabu (16/3/2022).
Untuk meminimalkan kebutaan, tak bisa dimungkiri penanganan katarak juga mesti terus dikembangkan. Perlu diketahui, selama ini metode fakoemulsifikasi menjadi tindakan operasi yang umum diterapkan pada penderita katarak. Prosedur operasi ini dinilai lebih aman dan dianggap sebagai standar emas karena hanya membutuhkan luka sayatan kecil dengan waktu penyembuhan yang lebih cepat.
Namun, metode fakoemulsifikasi ternyata memberikan tantangan pada pasien katarak yang menyandang miopia/rabun jauh tinggi, yakni risiko ketidakstabilan area zonula mata. Zonula merupakan jangkar transparan dan elastis yang menghubungkan ekuator lensa dengan badan silier dan retina bagian siliaris.
Memahami situasi itu, DR Vidyapati menggagas pendekatan baru untuk tindakan operasi katarak dengan menggunakan implantasi Capsular Bag Tension Ring (CTR). Penelitian ini tertuang dalam disertasi “Peran Capsular Tension Ring Pada Populasi Miopia Tinggi yang Menjalani Fakoemulsifikasi Terhadap Optimalisasi Penglihatan dan Efisiensi Menjaga Kestabilan Area Zonula’. Penelitian berlangsung mulai Mei 2019 hingga Juni 2020 dengan melibatkan 51 subjek.
Penelitian ini bertujuan memberikan solusi bagi penderita katarak dengan miopia tinggi agar memiliki opsi tindakan penanganan yang lebih presisi dan aman. Terlebih pasien dengan miopia tinggi memiliki prevalensi 62% menjadi katarak pada usia lebih dini, bahkan dalam rentang masa produktif. “Dengan penanaman CTR yang tepat, pasien dapat terbebas dari penyakit katarak dan penglihatannya kembali optimal. Dengan demikian pasien dapat kembali mandiri dan produktif,” urai DR. Vidyapati.
Pemaparan hasil penelitian secara rasional, sistematis dan empiris pada Ujian Terbuka, Program Doktor Ilmu Kedokteran dan Kesehatan, Fakultas Kedokteran, Kesehatan Masyarakat dan Keperawatan, Universitas Gadjah Mada, Yogyakarta, yang berlangsung hari ini secara virtual, mengantarkan DR. Dr. Vidyapati Mangunkusumo, SpM(K) meraih gelar doktor.
Kesempatan sama, Kepala Divisi Markom JEC Eye Hospitals and Clinics, Mubadiyah, menyampaikan JEC Cataract & Refractive Surgery Service sejak 1984 yang menghadirkan layanan komprehensif dan modern bagi pasien katarak, mulai tahapan edukasi dan konsultasi, diagnostik, serta tindakan medis hingga bedah. “Didukung teknologi yang mutakhir, JEC Cataract & Refractive Surgery Service juga diperkuat 31 dokter spesialis katarak dan tenaga medis mumpuni. JEC sendiri dalam 3 tahun terakhir telah menangani sekitar 50.000 tindakan operasi katarak,” tandas Mubadiyah. (BS)